REDTOUCH יתרונות בולטים:
- נגעים פיגמנטיים שפירים
- רפיון העור
- חידוש העור בלייזר (פוטורג'וביניישן) ללא פגיעה ברקמות הפחתת קמטים בפנים
פתרון חדש ומתקדם העונה לדרישות של אנשי מקצוע ומטופלים הדורשים יותר ויותר הליכים יעילים, לא פולשניים, ללא כאבים, החלמה או תופעות לוואי.
למה לבחור ב- RedTouch?
אורך גל ספציפי לקולגן (675 ננומטר)
RedTouch היא המערכת הראשונה שפועלת באופן סלקטיבי על סיבי קולגן.
ללא זמן החלמה
מכיוון ששכבת האפידרמיס אינה ניזוקה, הן תופעות הלוואי של הטיפול והן זמן ההחלמה של העור מצומצמים למינימום.
מגמות שוק גדלות בהצערת העור
דרושות טכנולוגיות חדשות כדי לספק למשתמשים פתרונות מינימליים או לא פולשניים לחלוטין.
עיצוב ארגונומי
סורק מובנה
מערכת מובנית
לקירור העור
קרינה מקטעית
(Fractional emission)
מנגנון הפעולה
מיקרוזונים של נזק תרמי (בקוטר של כ -1 מ"מ) גורמים לדנטורציה של סיבי קולגן באופן רציף המוביל לתהליך ניואקולוגנזה. בזכות המערכת הקירור המשולבת ואורך גל סלקטיבי וספציפי לקולגן (675 ננומטר), שכבת האפידרמיס אינה נפגעת ובכך תופעות הלוואי ממוזערות.
סורק מתקדם חדש
הידית של RedTouch , עם מערכת הסריקה המשולבת, תוכננה לקבלת הביצועים הטובים ביותר בהעברת אנרגיה לעור עם ארגונומיות מיטבית.
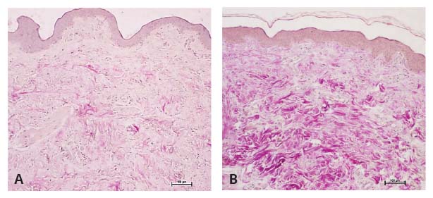
יעילות מוכחת לחידוש והצערת העור
בדיקה היסטולוגית מראה כיצד העור מחזיר לעצמו את המאפיינים של עור צעיר יותר לאחר הטיפול ב- RedTouch
היסטולוגיה של ביופסיה של עור האדם לפני (A) ואחרי (B) טיפול ב- ,RedTouch
המבוססת על שיטת ההכתמה של ואן גיסון. לאחר הטיפול, בשכבה הרשתית
(הדרמיס העמוק) אין צרורות של סיבי קולגן אלא סיבים דקים יותר, מקבילים
וישרים יותר. תמונה B מציגה מבנה מאורגן יותר עם הגדלת סיבי הקולגן.
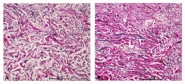
היסטולוגיה של ביופסיה של עור האדם לפני (A) ואחרי (B) טיפול ב- ,RedTouch
המבוססת על שיטת ההכתמה של ואן גיסון. התמונות מראות כי גם הסיבים
האלסטיים (הכהים) מקבילים וישרים יותר בדרמיס לאחר הטיפול. היבט זה מצביע
על מבנה מתאים יותר מבחינה תפקודית המספק גמישות רקמה טובה יותר.
תוצאות קליניות
באדיבות ,Claudia Rastelli, M.D
רימיני - איטליה
באדיבות ,Claudia Rastelli, M.D
רימיני - איטליה
באדיבות פרופ' ,Giovanni Cannarozzo, M.D
אוניברסיטת Tor Vergata
ברומא - איטליה
באדיבות ,Claudia Rastelli, M.D
רימיני - איטליה
העוצמה של RedTouch
יתרונות הנוחות הטוטלית של המפעיל והמטופל:
- מספק פתרון חדש ומתקדם בטכניקות חידוש והצערת העור
- מערכת ייחודית בשוק שתוכננה במיוחד לקולגן
- תוצאות טובות עם תופעות לוואי מינימיליות
- לא פולשני וללא כאבים (אין צורך בהרדמה)
- זמן החלמה מינימלי
- שימוש נרחב: ניתן לבצע יותר טיפולי פוטורג'וביניישן
- קל לשימוש
- עקומת למידה מהירה
- החזר השקעה מהיר